
Bewusst Gesund - Das Magazin
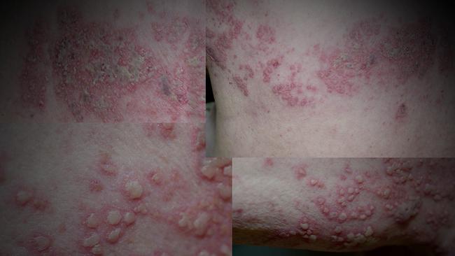
Gürtelrose – Folge einer Kinderkrankheit
Kaum wurde sie angeboten, war sie auch schon vergriffen, die Gratisimpfung gegen Gürtelrose.

Kein Wunder – die Krankheit ist oft äußerst schmerzhaft. Und wer kann, versucht sie zu vermeiden. Das Risiko Herpes Zoster, also Gürtelrose zu bekommen, steigt ab dem 50. Lebensjahr. Eine vorangegangene COVID-19 Infektion erhöht, wie man mittlerweile weiß, die Wahrscheinlichkeit zusätzlich - vor allem bei Frauen ab 65 Jahren.
Die ehemalige ORF-Moderatorin Martina Rupp macht schon länger in ihrem Podcast auf die Gefahr der Gürtelrose aufmerksam. Sie war Ende 50, als sie auf einmal müde und antriebslos wurde. Ein Stechen unter der linken Brust ließ sie an einen Herzinfarkt denken. Doch dann bildete sich ein Ausschlag auf ihrem Körper. Die Diagnose: Gürtelrose. Sechs Wochen lang musste die Moderatorin starke Schmerzmittel nehmen, um das Virus in den Griff zu bekommen. Mittlerweile geht es Martina Rupp wieder gut. In ihrem Podcast macht sie seither auf diese Erkrankung aufmerksam.
Gestaltung: Steffi Zupan

Studiogespräch: Gratis-Impfprogramm /Der Run auf die Gürtelrose-Impfung
Seit November 2025 stehen die Impfung gegen Gürtelrose (Herpes Zoster) und die Impfung gegen Pneumokokken in Österreich für Menschen ab 60 Jahren, sowie für bestimmte Risikogruppen, kostenlos zur Verfügung. Das kostenfreie Impfprogramm wurde erweitert, um ältere Personen und Immungeschwächte besser zu schützen. Gürtelrose wird durch das Varizellen-Zoster-Virus ausgelöst, das nach einer durchgemachten Feuchtblattern-Infektion lebenslang im Körper verbleibt. Bei geschwächtem Immunsystem kann es reaktiviert werden und die schmerzhafte Erkrankung verursachen. Mit der Impfung kann ein hoher, langfristiger Schutz erreicht werden, insbesondere in höheren Altersgruppen, in denen das Erkrankungsrisiko steigt, erklärt Univ. Prof. Dr. Robert Müllegger, Facharzt für Haut- und Geschlechtskrankheiten, Vorstand der Abteilung für Dermatologie am Landesklinikum Wiener Neustadt.
„Maushand“ – wenn der Arbeitsalltag zur Belastung wird
Stundenlanges Arbeiten am Computer ist für viele Menschen längst zur Normalität geworden – im Büro, im Homeoffice oder in der Freizeit. Doch mit der zunehmenden Bildschirmzeit steigt auch das Risiko für gesundheitliche Beschwerden, die oft unterschätzt werden. Eine der häufigsten Begleiterscheinungen: die sogenannte „Maushand“.
Typische Symptome sind Schmerzen im Handgelenk, Unterarm, Ellbogen oder in der Schulter, Taubheitsgefühle sowie eine eingeschränkte Beweglichkeit. Ursache ist meist eine Kombination aus schlechter Ergonomie am Arbeitsplatz, fehlenden Pausen und dauerhaft angespannter Körperhaltung. Besonders gefährdet sind Menschen, die über längere Zeiträume hinweg in starrer Position arbeiten – ohne regelmäßige Unterbrechung oder Ausgleichsbewegungen. Was neben gezielten Übungen hilft, sind Hilfsmittel wie beispielsweise Auflagen am Schreibtisch oder eine ergonomische Computermaus.
Gestaltung: Steffi Zupan


Bewusst Gesund-Tipp: Hexenschuss
Man kennt das: Plötzlich schießt ein heftiger Schmerz in den unteren Rücken, oft ausgelöst durch eine ruckartige Bewegung oder durch Verspannungen. Ein Hexenschuss, Mediziner*innen sprechen von Lumbago, trifft oft unerwartet und lässt den unteren Rücken erstarren – Bewegungsunfähigkeit und das Gefühl, als wäre der Rücken „blockiert“ können die Folge sein. Mögliche Ursachen sind Bewegungsmangel oder eine Fehlhaltung. Was man gegen einen Hexenschuss tun kann, erklärt Univ. Prof. Dr. Siegfried Meryn.
Sprossen – kleine Nährstoffbomben für den Winter
Frisch, knackig und voller Nährstoffe: Sprossen gelten als wahre Gesundheitsbooster. Egal ob Radieschen-, Mungobohnen- oder auch Getreidekeimlinge, die kleinen Pflänzchen sind reich an Vitaminen, Mineralstoffen, Antioxidantien und Eiweiß. Schon wenige Gramm liefern wertvolle Inhaltsstoffe, die das Immunsystem stärken, den Stoffwechsel ankurbeln und den Körper mit Energie versorgen. Man kann Sprossen ganz leicht selbst zu Hause, beispielsweise auf dem Fensterbrett, ziehen. Ernährungswissenschafterin Gabriele Homolka erklärt, wie`s geht, welche Sorten besonders bekömmlich sind, und worauf man bei der Zubereitung der Sprossen achten sollten.
Gestaltung: Vroni Brix


Moderation: Dr. Christine Reiler
weitere Informationen
Bei Fragen zur Sendung oder einem Anliegen, senden Sie uns bitte ein E-Mail.
bewusstgesund@orf.at
Die Sendung BEWUSST GESUND ist in Gebärdensprache auf ORF 2 Europe zu sehen und über Digitalsatellit oder in Kabelnetzen, in denen ORF 2 Europe eingespeist ist.