
Bewusst Gesund - Das Magazin
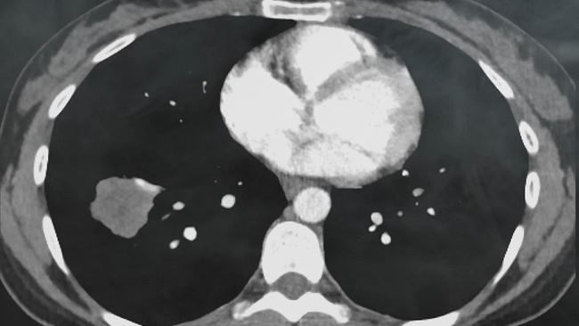
Lungenkrebs ohne Rauchen
Was das Rauchen angeht, hat Österreich einen unrühmlichen Platz im europäischen Spitzenfeld. Rund 24 Prozent der Erwachsenen rauchen täglich. Das gilt bisher als Hauptursache für die Entstehung von Lungenkrebs. Rund 5000 Frauen und Männer erhalten jährlich diese Diagnose. Das Alarmierende: Immer öfter bekommen auch Nichtraucher ein Lungenkarzinom.

Der Grund ist die Feinstaubbelastung, die zu einem großen Teil durch den Autoverkehr entsteht – zum Teil aus Auspuffen, zum Teil aus Reifen- und Bremsabrieb. Aber auch in den eigenen vier Wänden gib es Feinstaubquellen, die den meisten Menschen nicht bewusst sind. Kerzen, Räucherstäbchen, offene Kamine und sogar Gasherde sorgen dafür, dass vor allem im Winterhalbjahr die Feinstaubbelastung in Innenräumen größer sein kann als neben einer vielbefahrenen Straße.
Gestaltung: Christian Kugler

Studiogespräch: COPD – eine schleichende Erkrankung
Am 19. November ist Welt-COPD-Tag – ein Anlass, um auf die chronisch obstruktive Lungenkrankheit, von der 400.000 Menschen in Österreich betroffen sind, aufmerksam zu machen. COPD ist eine weitere Erkrankung, die vor allem durch Rauchen, aber auch durch Luftverschmutzung verursacht wird. Auch Nichtraucher*innen sind zunehmend gefährdet. Die fortschreitende Atemwegserkrankung verläuft in verschiedenen Stadien und ist nicht heilbar. Die Symptome von COPD treten oft schleichend auf - zu diesen zählen chronischer Husten, später auch Auswurf und Atemnot. Wird die Erkrankung nicht frühzeitig erkannt, kann sie die Lebensqualität der Betroffenen erheblich beeinträchtigen, alltägliche Aktivitäten wie Treppensteigen oder längeres Gehen nahezu unmöglich machen, und schließlich zum Tod führen. Eine frühzeitige Diagnose und eine gezielte Behandlung sind entscheidend, um das Fortschreiten der Krankheit zu verlangsamen, erklärt Dr. Michael Studnicka, Leiter der Universitätsklinik für Pneumologie & Lungenheilkunde am Landeskrankenhaus Salzburg.
Ketamin: Hoffnungsträger bei Long Covid?
Als Notfallmedikament und Narkosemittel kam die Substanz bereits in den 70er Jahren während des Vietnamkriegs zum Einsatz – heute rückt Ketamin erneut in den Fokus und entwickelt sich zu einem Hoffnungsträger in der modernen Medizin. Der Wirkstoff hilft Patientinnen und Patienten mit schweren Depressionen, bei denen andere Therapien nicht wirken. Aktuelle Erfahrungen aus der Praxis deuten nun darauf hin, dass Ketamin noch weiteres Potenzial haben könnte. Fachleute vermuten, dass der psychoaktive Wirkstoff auch Long-Covid-Betroffenen helfen könnte, deren Erschöpfung und Schmerzen bislang kaum zu behandeln sind. Doch die Therapie birgt auch Risiken: Ketamin kann abhängig machen und Halluzinationen auslösen.
Gestaltung: Denise Kracher


Bewusst Gesund-Tipp: Prostatitis
Geht es um die Männergesundheit, steht meistens die Prostata im Mittelpunkt. Nicht immer geht es um Krebs, wenn die Vorsteherdrüse Beschwerden macht. Es kann beispielsweise auch eine Prostataentzündung dahinterstecken. Etwa jeder dritte Mann im Alter zwischen 20 und 50 Jahren erkrankt daran. Fieber, allgemeines Unwohlsein und Schmerzen im Bereich der Genitalien, die ausstrahlen können, sind die häufigsten Anzeichen für eine Prostataentzündung. Über mögliche Ursachen und Behandlungsmethoden informiert Prof. Dr. Siegfried Meryn.
Fitnessbänder – wirkungsvolle Trainingspartner
Ob zu Hause, im Büro oder unterwegs – Widerstandsbänder, auch Resistance Bands oder Loopbänder genannt, sind längst kein reiner Fitnesstrend mehr.

Sie gelten heute als fester Bestandteil eines effektiven Ganzkörpertrainings – unter anderem aufgrund ihrer Vielseitigkeit. Sie ersetzen Hanteln, Gewichtscheiben, sowie andere Trainingsgeräte und bieten einen gelenkschonenden Weg, Muskulatur aufzubauen, die Beweglichkeit zu verbessern und die Körperhaltung zu optimieren. Durch den variablen Widerstand passen sie sich jedem Fitnesslevel an. Sie sind leicht, kompakt und überall – auch in der Reha -einsetzbar. „Bewusst gesund“ begleitet die Pensionistin Nora - sie trainiert mit den Bändern nach ihrer Knie-OP. Gestaltung: Christoph Hofer


Moderation: Dr. Christine Reiler
weitere Informationen
Bei Fragen zur Sendung oder einem Anliegen, senden Sie uns bitte ein E-Mail.
bewusstgesund@orf.at
Die Sendung BEWUSST GESUND ist in Gebärdensprache auf ORF 2 Europe zu sehen und über Digitalsatellit oder in Kabelnetzen, in denen ORF 2 Europe eingespeist ist.